Bass & Watson Family Dental
Michael Bass, DDS and Robert Watson, DDS
Home
About
Our Team
Technology
Office Tour
Services
View All
Cleanings and Exams
Cosmetic Dentistry
Crowns and Bridges
Dental Implants
Dentures and Partials
Extractions
Family Dentistry
Invisalign
Root Canal Treatment
Sedation Dentistry
Wisdom Teeth Removal
Smile Gallery
Patient Info
View Patient Info
Testimonials
Your First Visit
Financial
FAQs
Blog
New Patient Forms
Contact
Bass & Watson Family Dental
Michael Bass, DDS and Robert Watson, DDS
Schedule an Appointment
Like us on Facebook
Visit us on Yelp
Watch our Youtube Videos
Leave a Google Review
(919) 362-6789
Bass and Watson Family Dental
(919) 362-6789
Request an Appointment
Patient Portal
Bass & Watson Family Dental
>
Smile Gallery
>
Smile Make-Over
Smile Make-Over
Return to Smile Gallery
Next
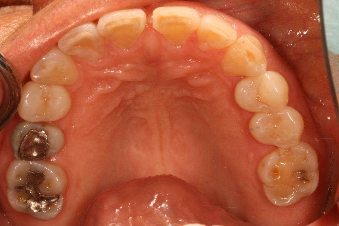
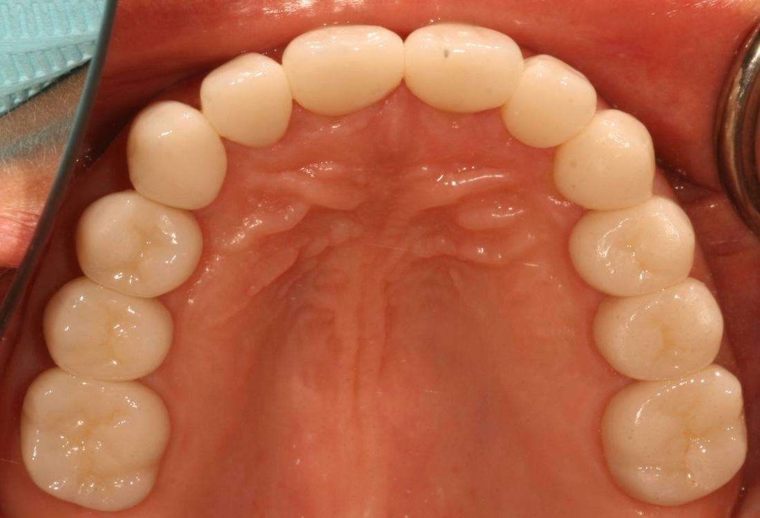
A full smile make-over has been life changing for RP. She only wishes she had done it sooner!
Related Services:
Cosmetic Dentistry
Click image to see a larger picture
Before
After
Before
After
Before
After
Personalized Comfort and Care Second to None!
Contact Us
If you have difficulty using our website, please
email us
or call us at
(919) 362-6789
View the
ADA Accessibility Statement
Turn on ADA Views
Privacy Policy
OK!
×
×
Contact Us Today
Give Us A Call
Bass & Watson Family Dental -
(919) 362-6789
Send Us an Email
Book Online
Contact Us
Ready to Schedule an Appointment?
Book Online
Have Questions? Contact Us:
Required Field
Your Name:
Phone:
Email:
Are you a new patient?:
Are you a?
New Patient
Current Patient
How would you like us to contact you?
Please choose
Email
Call
How did you hear about us?
Please choose
I'm an existing patient
Google/Bing
Mailer
Word of mouth
Social media
Other
Who Referred You?:
Appointment Preferences
Monday
Tuesday
Wednesday
Thursday
Your Message:
By checking this box, you authorize our office to contact you via text message.
This site is protected by reCAPTCHA and the Google
Privacy Policy
and
Terms of Service
apply.
Sending...
×
This Patient's Experience
Loading Testimonial...
Loading Case...